Restoring teeth with veneers
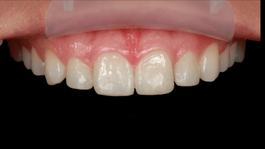
Выполнено восстановление формы и цвета верхних передних зубов (15 - 25) керамическими винирами e.Max
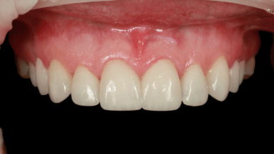
Выполнено восстановление формы и цвета верхних передних зубов (15 - 25) керамическими винирами e.Max
Author: Mikhail Boykov Igorevich


Загрузка отзывов...