Complete dentures
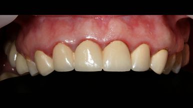
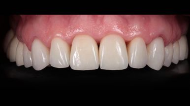
Replacement of old metal-ceramic structures with metal-free crowns and half-crowns e.Max, gingival margin plasty, and increase in the vertical dimension of occlusion
Replacement of old metal-ceramic structures with metal-free crowns and half-crowns e.Max, gingival margin plasty, and increase in the vertical dimension of occlusion
Author: Mikhail Boykov Igorevich


Загрузка отзывов...