Восстановление зубов винирами
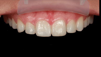
Выполнено восстановление формы и цвета верхних передних зубов (15 - 25) керамическими винирами e.Max
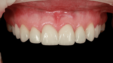
Выполнено восстановление формы и цвета верхних передних зубов (15 - 25) керамическими винирами e.Max
Автор: Михаил Бойков Игоревич


Загрузка отзывов...