Полное протезирование зубных рядов
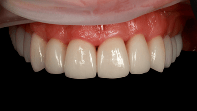
Выполнена пластика десенного края, увеличение вертикального размера окклюзии, протезирование безметалловыми коронками, полукоронками, винирами e.Max, проведена установка имплантов и протезирование с опорой на импланты
Выполнена пластика десенного края, увеличение вертикального размера окклюзии, протезирование безметалловыми коронками, полукоронками, винирами e.Max, проведена установка имплантов и протезирование с опорой на импланты
Автор: Михаил Бойков Игоревич


Загрузка отзывов...