Полное протезирование зубных рядов
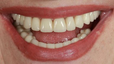
Выполнена плачтика десенного края, увеличение вертикального размера окклюзии, замена металлокерамических конструкций на безметалловые коронки, полукоронки, виниры e.Max, проведена установка имплантов и протезирование с опорой на импланты
Выполнена плачтика десенного края, увеличение вертикального размера окклюзии, замена металлокерамических конструкций на безметалловые коронки, полукоронки, виниры e.Max, проведена установка имплантов и протезирование с опорой на импланты
Автор: Михаил Бойков Игоревич


Загрузка отзывов...