Полное протезирование зубных рядов
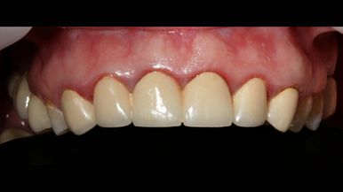
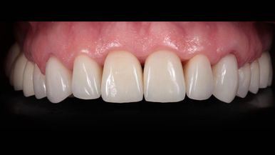
Выполнена замены старых металлокерамических конструкций на безметалловые коронки и полукоронки e.Max, плачтика десенного края, увеличение вертикального размера окклюзии
Выполнена замены старых металлокерамических конструкций на безметалловые коронки и полукоронки e.Max, плачтика десенного края, увеличение вертикального размера окклюзии
Автор: Михаил Бойков Игоревич


Загрузка отзывов...